PathoPic – image database / PathoPic ID 4498 - Leber bei mechanischem extrahepatischem Verschlussikterus

de
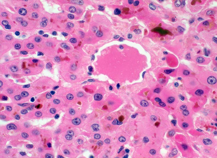
Diagnose
Leber bei mechanischem extrahepatischem Verschlussikterus
Diagnose Gruppe
organspezifische Erkrankung
Topographie
Leber
Topographie Gruppe
Leber, Gallenwege, Pankreas
Beschreibung
Teils intrazytoplasmatische und teils intracanaliculäre orangefarbene Gallepigmentablagerungen finden sich bevorzugt in der Zone 3 rund um die Zentralvene. Das Leberparenchym wirkt hier etwas unruhig aufgrund unterschiedlich grosser Kerne. Einzelzellnekrose (Councilman Körperchen).
Klinik
Patient mit Sklerenikterus seit 3 Wochen. Bekannte Cholezystolithiasis mit rechtsseitigen Oberbauchbeschwerden.
Bilder Typ
Histologie
Vergrösserung
400
Alter
75
Geschlecht
männlich
Datum
Ersteintrag: 15.04.2002