PathoPic – image database / PathoPic ID 4495 - Leber bei mechanischem extrahepatischem Verschlussikterus

de
Diagnose
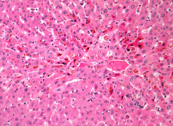
Leber bei mechanischem extrahepatischem Verschlussikterus
Diagnose Gruppe
organspezifische Erkrankung
Topographie
Leber
Topographie Gruppe
Leber, Gallenwege, Pankreas
Beschreibung
Intrazytoplasmatische und intracanaliculäre orangefarbene Gallepigmentablagerungen finden sich bevorzugt in der Zone 3 rund um die Zentralvene.
Klinik
Patient mit Sklerenikterus seit 3 Wochen. Bekannte Cholezystolithiasis mit rechtsseitigen Oberbauchbeschwerden.
Bilder Typ
Histologie
Vergrösserung
160
Alter
75
Geschlecht
männlich
Datum
Ersteintrag: 15.04.2002