PathoPic – image database / PathoPic ID 4490 - Carcinoma in situ (CIN III) des Plattenepithels

de
Diagnose
Carcinoma in situ (CIN III) des Plattenepithels
Diagnose Gruppe
Präneoplasie/ Atypie/ Dignität?
Topographie
Portio
Topographie Gruppe
Genitalorgane, weiblich
Beschreibung
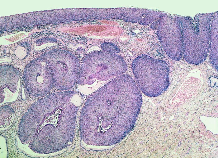
Das metaplastische Plattenepithel der Portio ist verdickt und erscheint aufgrund der erhöhten Zelldichte und der vergrösserten Kerne basophil. Eine Ausreifung der Zellen zur Oberfläche hin ist nicht erkennbar (=Cis). Das Carcinoma in situ wächst in vorbestehende endozervikale Drüsenschläuche ein.
Klinik
Im Portioabstrich anlässlich einer gynäkologischen Kontrolle Pap V, Hysterektomie
Kommentar
Die Umwandlungszone liegt dort, wo das metaplastische Plattenepithel die zervikalen Drüsen überwächst. An dieser Stelle finden sich besonders oft dysplastische Veränderungen des Portioepithels. Das Vorwachsen des dysplastischen Epithels in die endozervikalen Drüsenschläuche ist nicht mit Invasion gleichzusetzen, da das dysplastische Plattenepithel die Basalmembran der Drüsen nicht durchbricht (daran erkennbar, dass das vorwachsende Epithel scharf begrenzt ist und keine desmoplastische Stromabildung induziert).
Bilder Typ
Histologie
Vergrösserung
25
Alter
41
Geschlecht
unbekannt
Datum
Ersteintrag: 15.04.2002
Update: 10.08.2010