PathoPic – image database / PathoPic ID 4482 - endometrioides Adenokarzinom mit Ausbreitung in Adenomyoseherden

de
Diagnose
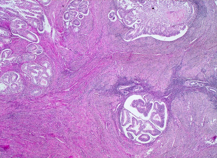
endometrioides Adenokarzinom mit Ausbreitung in Adenomyoseherden
Diagnose Gruppe
maligner Tumor
Topographie
Endometrium
Topographie Gruppe
Genitalorgane, weiblich
Beschreibung
Oben links im Bild das muskelinvasive hoch differenzierte endometrioide Karzinom. Rechts im Bild Adenomyoseherde mit Karzinomdrüsen. Die malignen Drüsen sind von endometranem Stroma umgeben, also nicht invasiv und verschlechtern somit die Prognose nicht.
Bilder Typ
Histologie
Vergrösserung
25
Alter
61
Geschlecht
unbekannt
Datum
Ersteintrag: 15.04.2002
Update: 10.08.2010