Pathopic
HiPaKu
ZyPaKu
PathoBasic
PathoBasic Cytology
Quizzes
Projektinfos
PathoPic - Projekt- und Copyright-Info
About
Pathopic
HiPaKu
ZyPaKu
PathoBasic
PathoBasic Cytology
Quizzes
PathoPic – image database
/
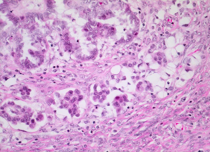
PathoPic ID 4479 - mikroinvasives serös papilläres Ovarialkarzinom
de
Diagnose
mikroinvasives serös papilläres Ovarialkarzinom
Diagnose Gruppe
maligner Tumor
Topographie
Ovar
Topographie Gruppe
Genitalorgane, weiblich
Beschreibung
An umschriebener Stelle invadieren
kleinere Zellgruppen und
Einzelzellen das an dieser Stelle aufgelockerte Stroma.
Bilder Typ
Histologie
Vergrösserung
200
Alter
24
Geschlecht
unbekannt
Datum
Ersteintrag: 15.04.2002
Update: 10.08.2010
CPS
·
©
2024 Institut für Pathologie Basel
/
Dr. med. Katharina Glatz-Krieger
.
·
v2.1