PathoPic – image database / PathoPic ID 4457 - gutartiges reifes Teratom: Haut und Hautanhangsgebilde

de
Diagnose
gutartiges reifes Teratom: Haut und Hautanhangsgebilde
Diagnose Gruppe
benigner Tumor
Topographie
Ovar
Topographie Gruppe
Genitalorgane, weiblich
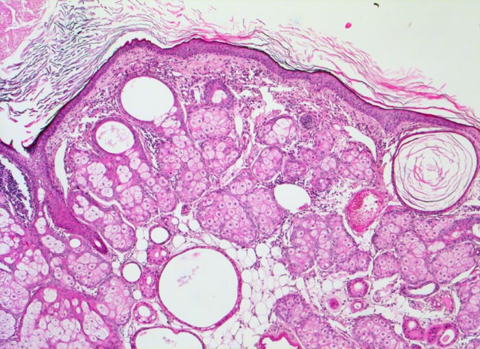
Beschreibung
Stark verhornende Epidermis. Zahlreiche Talgdrüsen. Haarfollikel und einzelne ekkrine Schweissdrüsen, sowie wenig Fettgewebe.
Zusatzbefund
Ovar mit 8cm grossem prallelastischem Tumor mit glatter Oberfläche. Bei der Eröffnung des zystischen Tumors quellen Haare hervor, welche von Talgmassen durchsetzt sind. Auf der Zysteninnenseite haftet ein behaarter Knoten von 2cm Durchmesser mit fokalen Verkalkungen und lipomatösem Stroma (sogenannter Kopfhöcker).
Klinik
Palpabler Tumor im linken Unterbauch, Druckgefühl verursachend.
Bilder Typ
Histologie
Vergrösserung
50
Alter
24
Geschlecht
unbekannt
Datum
Ersteintrag: 15.04.2002
Update: 10.08.2010