PathoPic – image database / PathoPic ID 4446 - wenig differenziertes endometrioides Adenokarzinom

de
Diagnose
wenig differenziertes endometrioides Adenokarzinom
Diagnose Gruppe
maligner Tumor
Topographie
Uterus
Topographie Gruppe
Genitalorgane, weiblich
Beschreibung
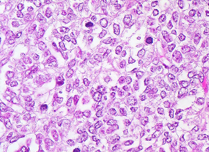
Solider Tumorzellverband. Die vesikulären (bläschenförmigen) Kerne sind polymorph und hyperchromatisch. Die Kernmembranen sind unregelmässig. Die Kern-Zytoplasmarelation ist erhöht. Mehrere Mitosen.
Zusatzbefund
Exophytischer, in das Uteruscavum hineinragender, weicher fokal hämorrhagischer Tumor ausgehend von der Uterushinterwand. Das Tumorgewebe infiltriert die innere Hälfte des Endometriums.
Klinik
Postmenopausale Blutung. Diagnose eines endometrioiden Adenokarzinoms in der Corpuskurettage. Daraufhin Hysterektomie, Adnexektomie und Lymphadenektomie.
Bilder Typ
Histologie
Vergrösserung
400
Alter
76
Geschlecht
unbekannt
Datum
Ersteintrag: 09.05.2002
Update: 10.08.2010