PathoPic – image database / PathoPic ID 4437 - Fibroleiomyom

de
Diagnose
Fibroleiomyom
Diagnose Gruppe
benigner Tumor
Topographie
Uterus
Topographie Gruppe
Genitalorgane, weiblich
Beschreibung
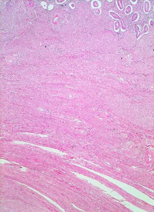
Oben im Bild ist das Stratum basale des Endometriums erkennbar. Die endometranen Drüsen sind von einem artefiziellen Spaltraum umgeben. Daran angrenzend das Myometrium. Im Myometrium ist ein scharf begrenzter unbekapselter glattmuskulärer Tumor erkennbar.
Zusatzbefund
Vergrösserter 258g schwerer Uterus mit multiplen weissen, derben scharf begrenzten, teils intramuralen und teils submukös gelegenen Knoten.
Klinik
Vaginale Hysterektomie wegen Meno-Metrorrhagien.
Kommentar
Die Drüsen des Stratum basale zeigen während des ganzen Zyklus geringe Proliferationszeichen. Eine Zyklustagbestimmung ist hier deshalb nicht möglich.
Bilder Typ
Histologie
Vergrösserung
25
Alter
48
Geschlecht
unbekannt
Datum
Ersteintrag: 16.04.2002
Update: 10.08.2010