PathoPic – image database / PathoPic ID 4433 - uterines Leiomyosarkom

de
Diagnose
uterines Leiomyosarkom
Diagnose Gruppe
maligner Tumor
Topographie
Uterus
Topographie Gruppe
Genitalorgane, weiblich
Beschreibung
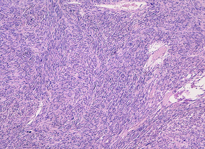
Dicht gelagerte spindelige Zellen mit länglichen Kernen sind in sich durchflechtenden Bündeln angeordnet. Im Vergleich zum Leiomyom grössere und polymorphere dichter gelagerte Kerne.
Klinik
Die Patientin sucht wegen postmenopausaler Blutung den Gynäkologen auf. Dieser palpiert einen stark vergrösserten Uterus.
Bilder Typ
Histologie
Vergrösserung
50
Alter
64
Geschlecht
unbekannt
Datum
Ersteintrag: 15.04.2002
Update: 10.08.2010