PathoPic – image database / PathoPic ID 4401 - hepatozelluläres Karzinom

de
Diagnose
hepatozelluläres Karzinom
Diagnose Gruppe
maligner Tumor
Topographie
Leber
Topographie Gruppe
Leber, Gallenwege, Pankreas
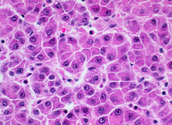
Beschreibung
Die Tumorzellen bilden Mikrotrabekel, welche mehr als zwei Zellen breit sind. Zwischen den Trabekeln verlaufen kapilläre Gefässe. Das Zytoplasma ist mässig reichlich und leicht basophil (bläulich). Einzelne Tumorzellen enthalten kleine Lipidtropfen. Die Tumorzellkerne sind kaum vergrössert. Das Chromatin ist leicht vergröbert. Die Kernmembran ist teilweise unregelmässig. Auffallend sind die vergrösserten eosinophilen Nukleolen. Desmoplastisches Bindegewebe fehlt.
Klinik
Patient mit bekannter chronischer Hepatitis C. Bei einer sonographischen Kontrolluntersuchung wird ein 1cm grosser Knoten entdeckt. Das Alpha-Fetoprotein im Serum ist nicht erhöht.
Kommentar
Die hepatozellulären Karzinome können gradiert werden auf einer Skala von I bis IV. Grad 1 Karzinome sind adenomartig (reichlich Zytoplasma und minimale Kernirregularitäten). Kerne von Grad 2-4 Tumoren haben prominente Nukleolen, eine Hyperchromasie und eine irreguläre Kernmembran. Die gering ausgeprägten Kernveränderungen im vorliegenden Fall entsprechen einem Grad 2 Tumor. Das Überleben korreliert mit dem Tumorgrad. Da die Überlebenszeiten aber generell sehr kurz sind, ist das Grading für die Prognosebestimmung beim individuellen Patienten nicht verlässlich.
Bilder Typ
Histologie
Vergrösserung
400
Alter
58
Geschlecht
männlich
Datum
Ersteintrag: 15.04.2002