Pathopic
HiPaKu
ZyPaKu
PathoBasic
PathoBasic Cytology
Quizzes
Projektinfos
PathoPic - Projekt- und Copyright-Info
About
Pathopic
HiPaKu
ZyPaKu
PathoBasic
PathoBasic Cytology
Quizzes
PathoPic – image database
/
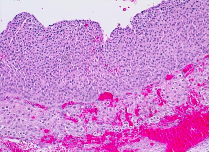
PathoPic ID 4390 - Rupturierter Follikel
de
Diagnose
Rupturierter Follikel
Diagnose Gruppe
Normalbefund
Topographie
Ovar
Topographie Gruppe
Genitalorgane, weiblich
Beschreibung
Zum Follikellumen hin eine breite Schicht von kleinen Granulosazellen. Gegen aussen folgt die stark vaskularisierte Theca interna mit grösseren luteinisierten Zellen.
Bilder Typ
Histologie
Vergrösserung
100
Alter
44
Geschlecht
unbekannt
Datum
Ersteintrag: 15.04.2002
Update: 10.08.2010
CPS
·
©
2024 Institut für Pathologie Basel
/
Dr. med. Katharina Glatz-Krieger
.
·
v2.1