PathoPic – image database / PathoPic ID 4349 - Normales exokrines Pankreas: Azini

de
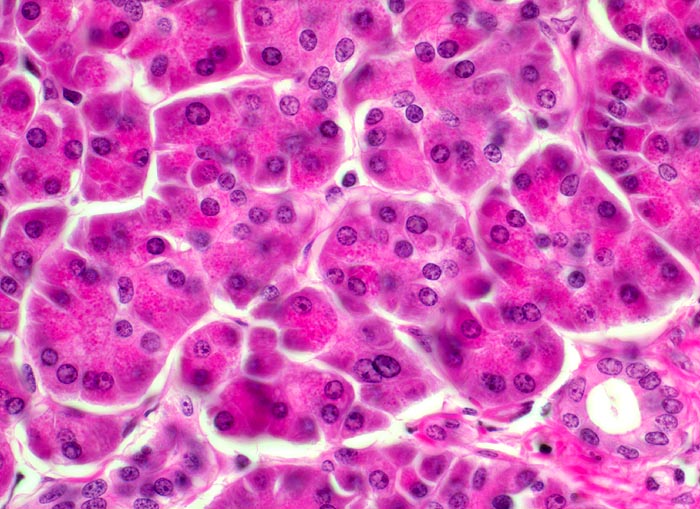
Diagnose
Normales exokrines Pankreas: Azini
Diagnose Gruppe
Normalbefund
Topographie
Pankreas
Topographie Gruppe
Leber, Gallenwege, Pankreas
Beschreibung
Mehreren Azini bestehend aus Azinuszellen mit dunkel eosinophilem fein granuliertem Zytoplasma gruppiert um hellere zentroazinäre Zellen (sind in Abhängigkeit von der Schnittebene nur teilweise sichtbar). Diese leiten über in ein Schaltstück und dieses wiederum in einen Ausführungsgang. Zwischen den einzelnen Azini verlaufen schmale Bindegewebssepten und ein fixationsbedingter artefizieller Spaltraum.
Bilder Typ
Histologie
Vergrösserung
400
Alter
81
Geschlecht
männlich
Datum
Ersteintrag: 05.04.2002