Pathopic
HiPaKu
ZyPaKu
PathoBasic
PathoBasic Cytology
Quizzes
Projektinfos
PathoPic - Projekt- und Copyright-Info
About
Pathopic
HiPaKu
ZyPaKu
PathoBasic
PathoBasic Cytology
Quizzes
PathoPic – image database
/
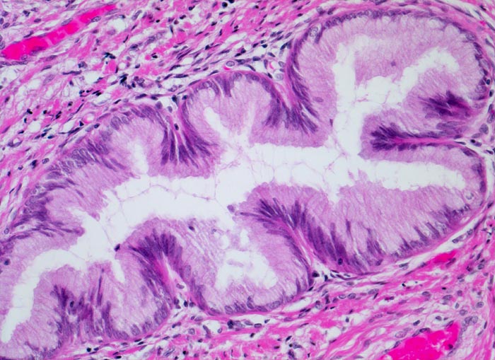
PathoPic ID 4312 - Zervixdrüse
de
Diagnose
Zervixdrüse
Diagnose Gruppe
Normalbefund
Topographie
Zervix
Topographie Gruppe
Genitalorgane, weiblich
Beschreibung
Endozervikale Drüse mit hochprismatischem Epithel, basalständigen Kernen und reichlich hellem Zytoplasma.
Bilder Typ
Histologie
Vergrösserung
200
Alter
42
Geschlecht
unbekannt
Datum
Ersteintrag: 05.04.2002
Update: 30.07.2010
CPS
·
©
2024 Institut für Pathologie Basel
/
Dr. med. Katharina Glatz-Krieger
.
·
v2.1