PathoPic – image database / PathoPic ID 431 - embolischer Mesenterialinfarkt

de
Diagnose
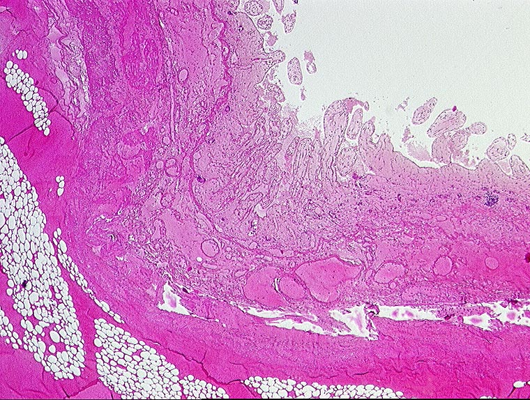
embolischer Mesenterialinfarkt
Diagnose Gruppe
vaskulär / Durchblutungsstörung
Topographie
Dünndarm
Topographie Gruppe
Kardiovaskuläres System
Beschreibung
Hämorrhagische Nekrose der Darmwand.
Zusatzbefund
Alter Myokardinfarkt Parietalthrombus. Frische Emboli in eröffneten Ästen der Arteria mesenterica superior.
Bilder Typ
Histologie
Alter
70
Geschlecht
männlich
Datum
Ersteintrag: 09.11.2001