Pathopic
HiPaKu
ZyPaKu
PathoBasic
PathoBasic Cytology
Quizzes
Projektinfos
PathoPic - Projekt- und Copyright-Info
About
Pathopic
HiPaKu
ZyPaKu
PathoBasic
PathoBasic Cytology
Quizzes
PathoPic – image database
/
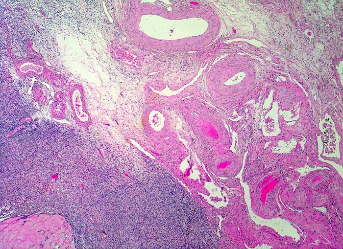
PathoPic ID 4284 - normales Ovar: Hilus
de
Diagnose
normales Ovar: Hilus
Diagnose Gruppe
Normalbefund
Topographie
Ovar
Topographie Gruppe
Genitalorgane, weiblich
Beschreibung
Rechts oben im Bild zahlreiche dickwandige Gefässe des Ovarhilus in lockerem Stroma eingebettet. Links unten im Bild Anschnitt eines Corpus albicans.
Bilder Typ
Histologie
Vergrösserung
25
Alter
72
Geschlecht
unbekannt
Datum
Ersteintrag: 05.04.2002
Update: 10.08.2010
CPS
·
©
2024 Institut für Pathologie Basel
/
Dr. med. Katharina Glatz-Krieger
.
·
v2.1