PathoPic – image database / PathoPic ID 4254 - retikulozytär-abszedierende Lymphadenitis bei Katzenkratzkrankheit

de
Diagnose
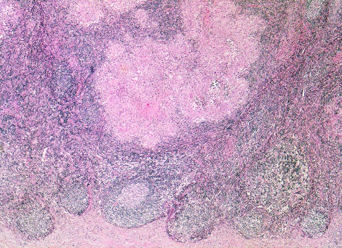
retikulozytär-abszedierende Lymphadenitis bei Katzenkratzkrankheit
Diagnose Gruppe
Entzündung infektiös
Topographie
Lymphknoten, Axilla
Topographie Gruppe
Lymphatische Gewebe, KM, Milz
Beschreibung
Unten im Bild die fibrosierte Lymphknotenkapsel. In der angrenzenden Rinde mehrere Lymphfollikel, eines davon mit Keimzentrum. Oben im Bild konfluierende histiozytäre Granulome mit zentraler Nekrose.
Zusatzbefund
Nachweis von kleinen pleomorphen Bakterien
Klinik
Druckschmerzhafte Lymphknotenvergrösserung in der rechten Axilla 2 Wochen nachdem der Patient von seiner Katze an der rechten Hand gekratzt wurde.
Kommentar
Keine käsige Nekrose wie bei Tbc.
Bilder Typ
Histologie
Vergrösserung
25
Alter
8
Geschlecht
männlich
Datum
Ersteintrag: 02.07.2002