Pathopic
HiPaKu
ZyPaKu
PathoBasic
PathoBasic Cytology
Quizzes
Projektinfos
PathoPic - Projekt- und Copyright-Info
About
Pathopic
HiPaKu
ZyPaKu
PathoBasic
PathoBasic Cytology
Quizzes
PathoPic – image database
/
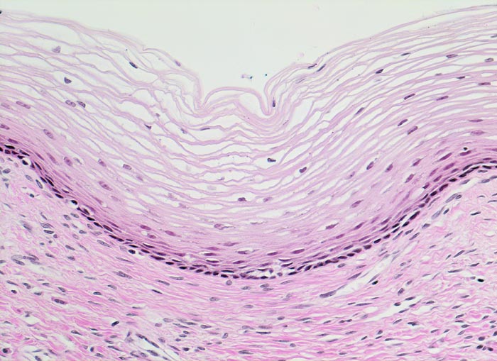
PathoPic ID 4182 - normales Plattenepithel der Portio
de
Grad
Diagnose
normales Plattenepithel der Portio
Diagnose Gruppe
Normalbefund
Topographie
Portio
Topographie Gruppe
Genitalorgane, weiblich
Beschreibung
Mehrschichtiges unverhorntes Plattenepithel. Normale Ausreifung von den basalen zu den apikalen Zellen mit zunehmender Verkleinerung der Kerne. Dichtes entzündungsfreies Stroma.
Bilder Typ
Histologie
Vergrösserung
200
Alter
42
Geschlecht
unbekannt
Datum
Ersteintrag: 05.03.2002
Update: 10.08.2010
CPS
·
©
2024 Institut für Pathologie Basel
/
Dr. med. Katharina Glatz-Krieger
.
·
v2.1