PathoPic – image database / PathoPic ID 4139 - Plasmazellmyelom

de
Diagnose
Plasmazellmyelom
Diagnose Gruppe
maligner Tumor
Topographie
Knochenmark, Wirbelkörper
Topographie Gruppe
Lymphatische Gewebe, KM, Milz
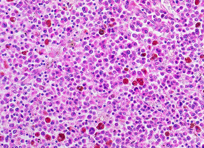
Beschreibung
Verdrängung des Knochenmarks durch teilweise mehrkernige atypische neoplastische Plasmazellen. Zwischen den Plasmazellen farblose Erythrozyten und braune Histiozyten mit reichlich Hämosiderin im Zytoplasma.
Klinik
Notfalleinweisung wegen umschriebenen Thoraxschmerzen ohne adäquates Trauma. Im Röntgenbild Nachweis multipler Frakturen der Wirbelsäule und der Rippen bei grobsträhniger Osteoporose. In der Serumelektrophorese Nachweis einer Paraproteinämie.
Bilder Typ
Histologie
Vergrösserung
200
Alter
64
Geschlecht
männlich
Datum
Ersteintrag: 06.10.2002
Update: 09.09.2013