PathoPic – image database / PathoPic ID 4138 - Plasmazellmyelom

de
Diagnose
Plasmazellmyelom
Diagnose Gruppe
maligner Tumor
Topographie
Knochenmark, Wirbelkörper
Topographie Gruppe
Lymphatische Gewebe, KM, Milz
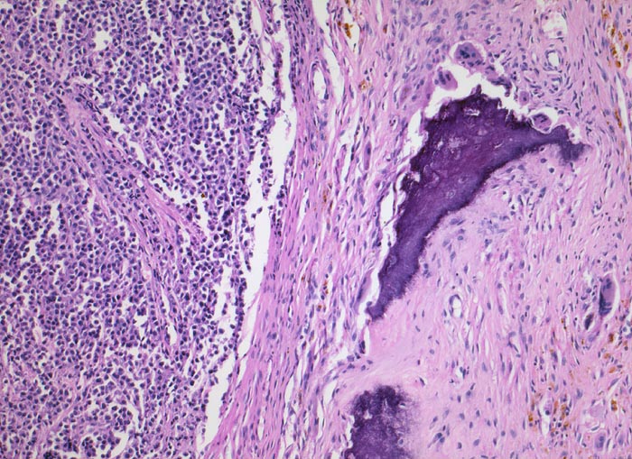
Beschreibung
Homogenes Tumorgewebe links im Bild ohne erkennbare Knochenmarksanteile. Ein Knochenbälkchen am Rande des Präparates wird von Osteoklasten resorbiert. Im Bindegewebe finden sich Makrophagen mit gelbbraunen Hämosiderineinlagerungen im Zytoplasma als Folge von Tumornekrosen und Blutungen.
Klinik
Notfalleinweisung wegen umschriebenen Thoraxschmerzen ohne adäquates Trauma. Im Röntgenbild Nachweis multipler Frakturen der Wirbelsäule und der Rippen bei grobsträhniger Osteoporose. In der Serumelektrophorese Nachweis einer Paraproteinämie.
Bilder Typ
Histologie
Vergrösserung
100
Alter
64
Geschlecht
männlich
Datum
Ersteintrag: 04.03.2002
Update: 09.09.2013