Pathopic
HiPaKu
ZyPaKu
PathoBasic
PathoBasic Cytology
Quizzes
Projektinfos
PathoPic - Projekt- und Copyright-Info
About
Pathopic
HiPaKu
ZyPaKu
PathoBasic
PathoBasic Cytology
Quizzes
PathoPic – image database
/
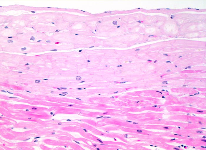
PathoPic ID 4126 - normales Myokard: Reizleitungszellen
de
Diagnose
normales Myokard: Reizleitungszellen
Diagnose Gruppe
Normalbefund
Topographie
Herz
Topographie Gruppe
Kardiovaskuläres System
Beschreibung
Subendocardiale Schicht von etwas grösseren deutlich helleren (herausgelöstes Glykogen) Herzmuskelzellen des Reizleitungssystems
Bilder Typ
Histologie
Vergrösserung
200
Alter
33
Geschlecht
männlich
Datum
Ersteintrag: 04.03.2002
CPS
·
©
2024 Institut für Pathologie Basel
/
Dr. med. Katharina Glatz-Krieger
.
·
v2.1