Pathopic
HiPaKu
ZyPaKu
PathoBasic
PathoBasic Cytology
Quizzes
Projektinfos
PathoPic - Projekt- und Copyright-Info
About
Pathopic
HiPaKu
ZyPaKu
PathoBasic
PathoBasic Cytology
Quizzes
PathoPic – image database
/
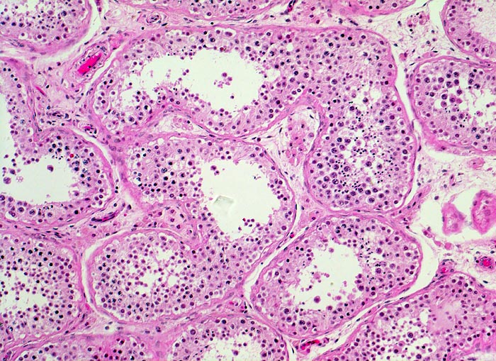
PathoPic ID 4122 - ausreifende Spermiogenese
de
Diagnose
ausreifende Spermiogenese
Diagnose Gruppe
Normalbefund
Topographie
Hoden
Topographie Gruppe
Genitalorgane, männlich
Beschreibung
Unauffälliges Hodenparenchym mit ausreifender Spermiogenese in den Tubuli. Im Interstitium kleine Gruppen von
Leydigzellen.
Bilder Typ
Histologie
Vergrösserung
100
Alter
43
Geschlecht
männlich
Datum
Ersteintrag: 04.03.2002
Update: 30.07.2010
CPS
·
©
2024 Institut für Pathologie Basel
/
Dr. med. Katharina Glatz-Krieger
.
·
v2.1