Pathopic
HiPaKu
ZyPaKu
PathoBasic
PathoBasic Cytology
Quizzes
Projektinfos
PathoPic - Projekt- und Copyright-Info
About
Pathopic
HiPaKu
ZyPaKu
PathoBasic
PathoBasic Cytology
Quizzes
PathoPic – image database
/
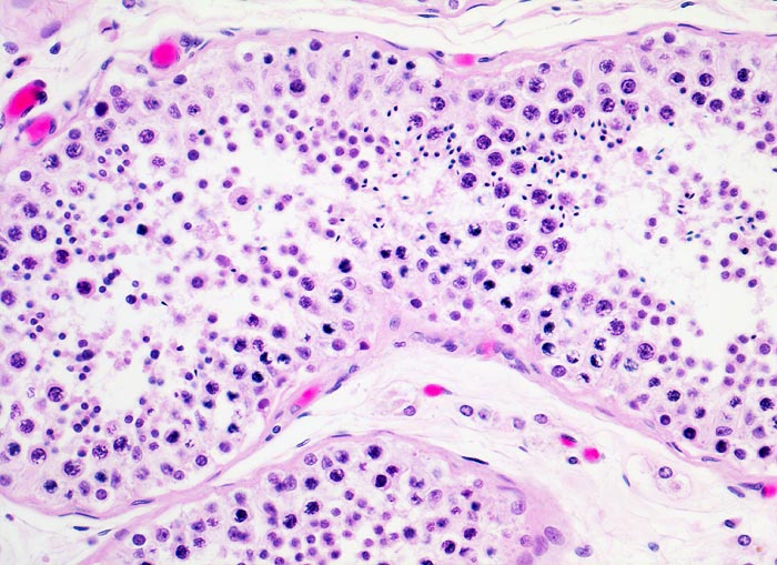
PathoPic ID 4121 - ausreifende Spermiogenese
de
Diagnose
ausreifende Spermiogenese
Diagnose Gruppe
Normalbefund
Topographie
Hoden
Topographie Gruppe
Genitalorgane, männlich
Beschreibung
Normal ausreifende Spermiogenese
Bilder Typ
Histologie
Vergrösserung
200
Alter
43
Geschlecht
männlich
Datum
Ersteintrag: 04.03.2002
Update: 30.07.2010
CPS
·
©
2024 Institut für Pathologie Basel
/
Dr. med. Katharina Glatz-Krieger
.
·
v2.1