PathoPic – image database / PathoPic ID 4070 - normale Aortenklappe

de
Diagnose
normale Aortenklappe
Diagnose Gruppe
Normalbefund
Topographie
Aortenklappe
Topographie Gruppe
Kardiovaskuläres System
Beschreibung
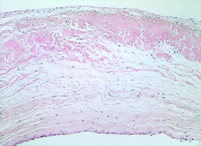
Ein Grossteil der Klappe besteht aus lockerem kollagenfasrigem Gewebe und ungefärbten Glykosaminoglykanen zwischen den Kollagenfasern. Die elastischen Fasern sind in dieser Färbung nicht erkennbar. Das Klappengerüst ist von einer flachen Endothelschicht bedeckt.
Bilder Typ
Histologie
Vergrösserung
100
Alter
79
Geschlecht
unbekannt
Datum
Ersteintrag: 04.03.2002