Pathopic
HiPaKu
ZyPaKu
PathoBasic
PathoBasic Cytology
Quizzes
Projektinfos
PathoPic - Projekt- und Copyright-Info
About
Pathopic
HiPaKu
ZyPaKu
PathoBasic
PathoBasic Cytology
Quizzes
PathoPic – image database
/
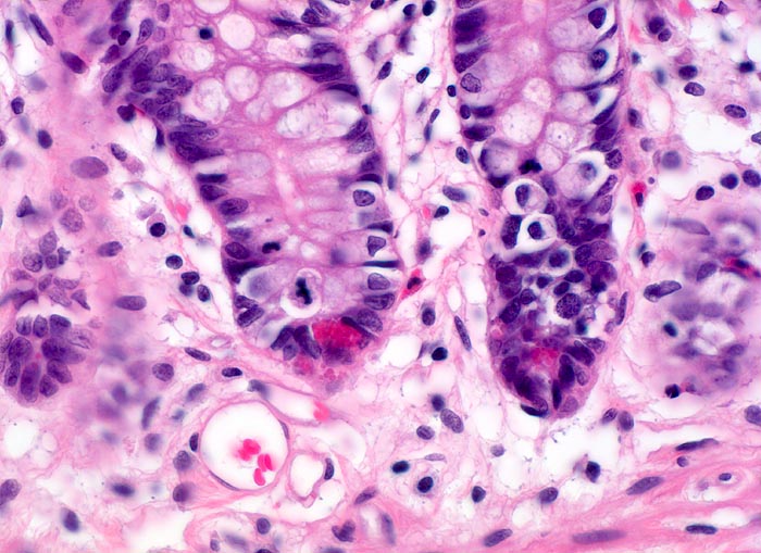
PathoPic ID 4065 - Dünndarmkrypten
de
Diagnose
Dünndarmkrypten
Diagnose Gruppe
Normalbefund
Topographie
Ileum
Topographie Gruppe
Darm, Anus
Beschreibung
Proliferationszone an der Kryptenbasis mit höherer Kern-Zytoplasmarelation, dichter liegenden Zellen und mehreren Mitosen.
Paneth'sche Körnerzellen mit rot granuliertem Zytoplasma.
Bilder Typ
Histologie
Vergrösserung
400
Alter
34
Geschlecht
unbekannt
Datum
Ersteintrag: 02.10.2002
CPS
·
©
2024 Institut für Pathologie Basel
/
Dr. med. Katharina Glatz-Krieger
.
·
v2.1