PathoPic – image database / PathoPic ID 4060 - normale Mamma: Drüsenläppchen

de
Diagnose
normale Mamma: Drüsenläppchen
Diagnose Gruppe
Normalbefund
Topographie
Mamma
Topographie Gruppe
Mamma
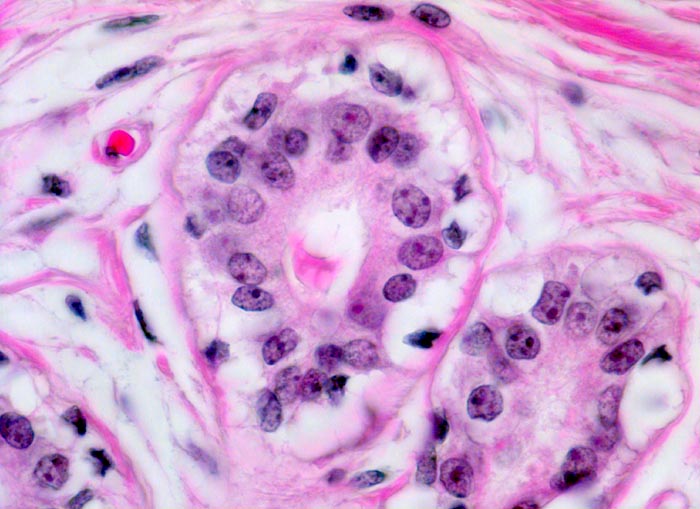
Beschreibung
Das Epithel der Alveolen besteht aus einer inneren Schicht kubischer Zellen mit rundlichen Kernen und feinen Nukleolen. Aussen, der Basalmembran aufsitzend die Myoepithelschicht mit aufgeblasenem leer erscheinendem Zytoplasma und kleinen kondensierten Kernen.
Bilder Typ
Histologie
Vergrösserung
630
Alter
44
Geschlecht
unbekannt
Datum
Ersteintrag: 04.03.2002