PathoPic – image database / PathoPic ID 4050 - chronische hyperplastische Tonsillitis

de
Diagnose
chronische hyperplastische Tonsillitis
Diagnose Gruppe
Hyperplasie / Hypertrophie
Topographie
Tonsille
Topographie Gruppe
Lymphatische Gewebe, KM, Milz
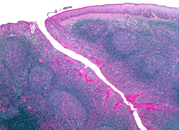
Beschreibung
Das hyperplastische lymphatische Gewebe wird bedeckt von Plattenepithel, welches eine schlitzförmige Einsenkung (Krypte) bildet. Unter dem Plattenepithel zahlreiche Sekundärfollikel.
Bilder Typ
Histologie
Vergrösserung
25
Alter
20
Geschlecht
männlich
Datum
Ersteintrag: 04.03.2002