PathoPic – image database / PathoPic ID 4025 - normales blutbildendes Knochenmark

de
Diagnose
normales blutbildendes Knochenmark
Diagnose Gruppe
Normalbefund
Topographie
Knochenmark, Beckenkamm
Topographie Gruppe
Lymphatische Gewebe, KM, Milz
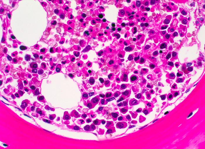
Beschreibung
Normale topographische Verteilung der Blutbildung: unten im Bild angrenzend an das Spongiosabälkchen (paratrabekulär) unreife Vorstufen der Myelopoese mit gegen markzentral zunehmender Ausreifung (segmentkernige neutrophile Granulozyten oben im Bild). Ausserdem markzentrale Erythropoeseherde.
Bilder Typ
Histologie
Vergrösserung
40
Alter
43
Geschlecht
männlich
Datum
Ersteintrag: 28.09.2002