PathoPic – image database / PathoPic ID 4015 - Lymphknotensarkoidose (Morbus Boeck) Granulome mit Fibrose

de
Zeitverlauf
Diagnose
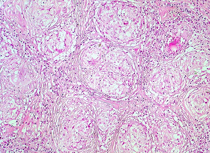
Lymphknotensarkoidose (Morbus Boeck) Granulome mit Fibrose
Diagnose Gruppe
Systemerkrankung/Immunpathologie
Topographie
Lymphknoten, inguinal
Topographie Gruppe
Lymphatische Gewebe, KM, Milz
Beschreibung
Späteres Stadium einer Sarkoidose. Für Sarkoidose typische konzentrische Fibrose in der Peripherie der Granulome. Das Parenchym des Lymphknotens ist verdrängt. Die Granulome stehen Rücken an Rücken und konfluieren nicht.
Klinik
Bihiläre Lymphadenopathie bei Sarkoidose. Plötzlicher Herztod.
Bilder Typ
Histologie
Vergrösserung
100
Alter
42
Geschlecht
männlich
Datum
Ersteintrag: 13.01.2002