PathoPic – image database / PathoPic ID 4013 - Lymphknotensarkoidose (Morbus Boeck)

de
Zeitverlauf
Diagnose
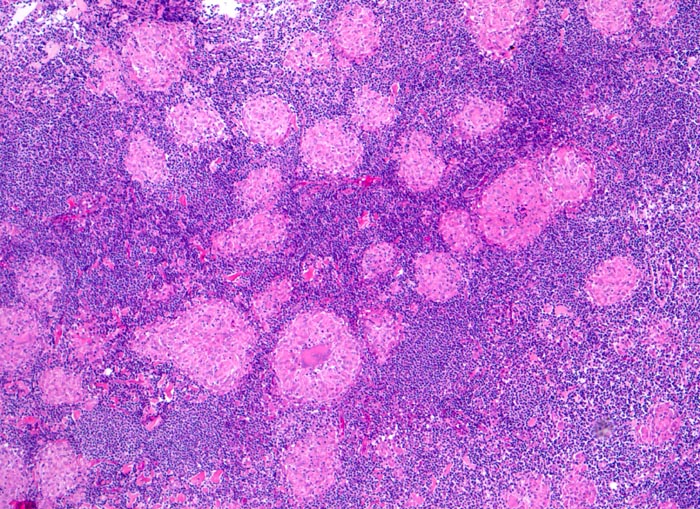
Lymphknotensarkoidose (Morbus Boeck)
Diagnose Gruppe
Systemerkrankung/Immunpathologie
Topographie
Lymphknoten, inguinal
Topographie Gruppe
Lymphatische Gewebe, KM, Milz
Beschreibung
Zahlreiche nicht verkäsende Granulome durchsetzen das Lymphknotenparenchym.
Klinik
Vergrösserte inguinale Lymphknoten bei bekannter Sarkoidose mit Befall der Lungen.
Bilder Typ
Histologie
Vergrösserung
50
Alter
37
Geschlecht
unbekannt
Datum
Ersteintrag: 13.01.2002