PathoPic – image database / PathoPic ID 4011 - retikulozytär-abszedierende Lymphadenitis bei Katzenkratzkrankheit

de
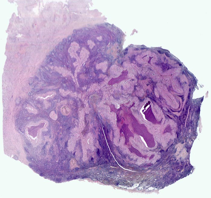
Diagnose
retikulozytär-abszedierende Lymphadenitis bei Katzenkratzkrankheit
Diagnose Gruppe
Entzündung infektiös
Topographie
Lymphknoten, Axilla
Topographie Gruppe
Lymphatische Gewebe, KM, Milz
Beschreibung
Links im Bild die stark fibrosierte Lymphknotenkapsel. Das Parenchym wird durchsetzt von girlandenförmigen Arealen mit zentraler Abszessbildung umgeben von einem hellen Saum aus Epitheloidzellen.
Klinik
Druckschmerzhafte Lymphknotenvergrösserung in der rechten Axilla 2 Wochen nachdem der Patient von seiner Katze an der rechten Hand gekratzt wurde.
Bilder Typ
Histologie
Vergrösserung
Scan
Alter
8
Geschlecht
männlich
Datum
Ersteintrag: 28.09.2002