PathoPic – image database / PathoPic ID 4010 - Lymphknotentuberkulose: verkäsendes Granulom und Vernarbung

de
Diagnose
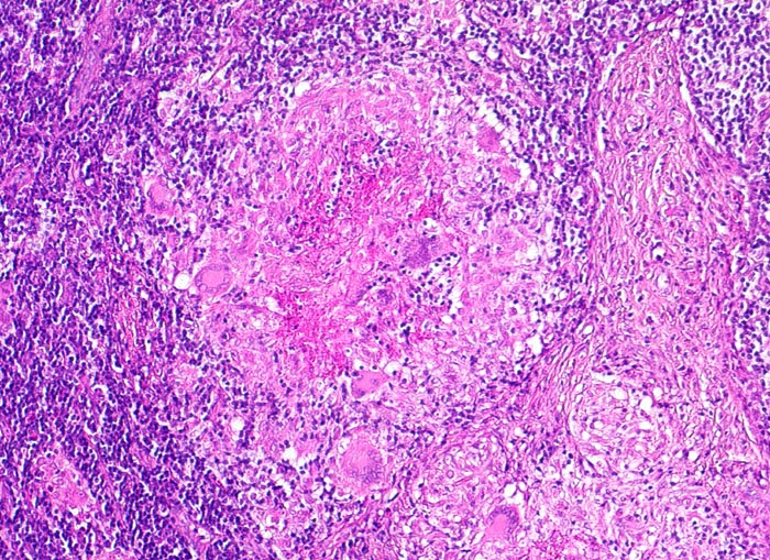
Lymphknotentuberkulose: verkäsendes Granulom und Vernarbung
Diagnose Gruppe
Entzündung infektiös
Topographie
Lymphknoten, Kopf-cervikal
Topographie Gruppe
Lymphatische Gewebe, KM, Milz
Beschreibung
Links im Bild ein zentral verkäsendes Granulom mit Langhans Riesenzellen. Rechts davon Vermehrung von Kollagenfasern.
Klinik
Konglomerattumor am Hals mit Fistelbildung bei Patient aus Zimbabwe.
Kommentar
Tuberkulosegranulome können durch zunehmende Produktion von Kollagenfasern vernarben. Die Nekroseareale können verkalken.
Bilder Typ
Histologie
Vergrösserung
100
Alter
15
Geschlecht
männlich
Datum
Ersteintrag: 13.01.2002