PathoPic – image database / PathoPic ID 3934 - Diffuses grosszelliges B-Zell Lymphom

de
Diagnose
Diffuses grosszelliges B-Zell Lymphom
Diagnose Gruppe
maligner Tumor
Topographie
Lymphknoten, abdominal
Topographie Gruppe
Lymphatische Gewebe, KM, Milz
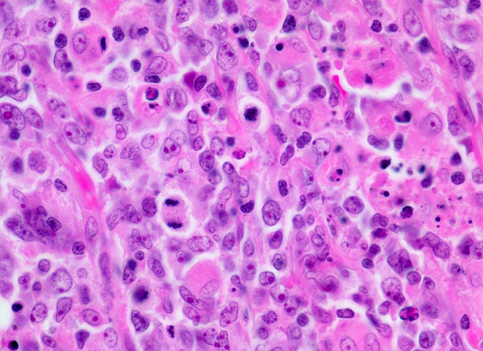
Beschreibung
Mittelgrosse stark polymorphe Tumorzellen mit unregelmässig geformten, teils lobulierten oder eingekerbten Kernen. Oft sind mehrere randständige Nukleolen erkennbar (Zentroblastische Variante). Schmaler Zytoplasmasaum. Zahlreiche Histiozyten mit reichlich eosinophilem Zytoplasma und ovalen Kernen ohne Atypien. Mehrere Mitosen und Apoptosen als Ausdruck der raschen Zellproliferation.
Klinik
Magenlymphom mit Befall abdominaler Lymphknoten.
Bilder Typ
Histologie
Vergrösserung
630
Alter
52
Geschlecht
männlich
Datum
Ersteintrag: 01.08.2002
Update: 05.10.2007