PathoPic – image database / PathoPic ID 3924 - reaktive lymphatische Hyperplasie bei Katzenkratzkrankheit

de
Diagnose
reaktive lymphatische Hyperplasie bei Katzenkratzkrankheit
Diagnose Gruppe
Entzündung infektiös
Topographie
Lymphknoten, Axilla
Topographie Gruppe
Lymphatische Gewebe, KM, Milz
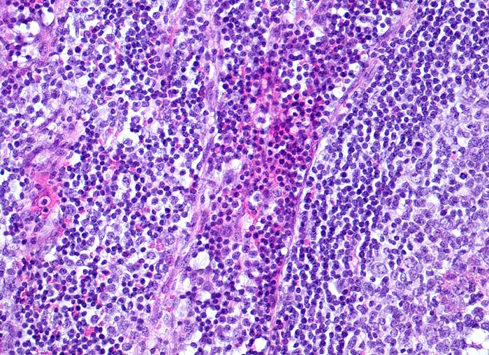
Beschreibung
Das Lymphknotenparenchym ausserhalb der retikulozytär abszedierten Läsionen zeigt eine reaktive Hyperplasie mit Ausbildung von Sekundärfollikeln (Anschnitt eines Keimzentrums). Links davon die interfollikuläre Zone mit einem Sinus, welcher mit Entzündungszellen gefüllt ist (Bildmitte).
Klinik
Druckschmerzhafte Lymphknotenvergrösserung in der rechten Axilla 2 Wochen nachdem der Patient von seiner Katze an der rechten Hand gekratzt wurde.
Bilder Typ
Histologie
Vergrösserung
200
Alter
8
Geschlecht
männlich
Datum
Ersteintrag: 28.09.2002