PathoPic – image database / PathoPic ID 3899 - chronische myeloische Leukämie (CML)

de
Diagnose
chronische myeloische Leukämie (CML)
Diagnose Gruppe
maligner Tumor
Topographie
Knochenmark, Beckenkamm
Topographie Gruppe
Lymphatische Gewebe, KM, Milz
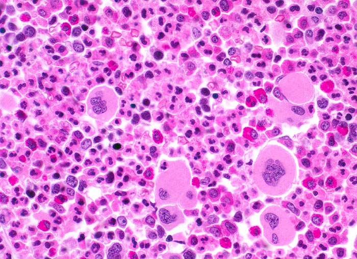
Beschreibung
Ausschnitt aus der Mitte des Markraumes mit Überwiegen reiferer Elemente der Granulozytopoese mit zahlreichen vollständig ausgereiften segmentkernigen neutrophilen Granulozyten und mehreren kräftig roten segmentkernigen eosinophilen Granulozyten. Die verschiedenen unreiferen Zelltypen der Granulopoese können in der HE Färbung nicht sicher voneinander abgegrenzt werden. Nur ganz vereinzelt lassen sich Reste der roten Blutbildung nachweisen. Vermehrte kleine, teils in Gruppen liegende Megakaryozyten mit hypolobierten Kernen.
Klinik
Müdigkeit und Gewichtsverlust. Ausgeprägte Leukozytose, Basophilie und leichte Anämie. Palpable Milz.
Bilder Typ
Histologie
Vergrösserung
400
Alter
60
Geschlecht
männlich
Datum
Ersteintrag: 30.07.2002