PathoPic – image database / PathoPic ID 3898 - chronische myeloische Leukämie (CML)

de
Diagnose
chronische myeloische Leukämie (CML)
Diagnose Gruppe
maligner Tumor
Topographie
Knochenmark, Beckenkamm
Topographie Gruppe
Lymphatische Gewebe, KM, Milz
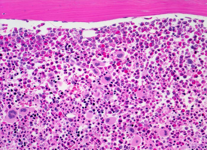
Beschreibung
Extrem hyperzelluläres Knochenmark ohne Fettzellen. Hochgradig gesteigerte voll ausreifende neutrophile Granulopoese. Erkennbar sind verschiedene Reifungsstufen der Granulopoese, wobei die unreiferen Vorstufen (Myelozyten, Promyelozyten) bevorzugt entlang des Spongiosabälkchens paratrabekulär lokalisiert sind. Zur Mitte des Markraumes hin folgt die Reifungszone mit Prädominanz segmentkerniger Neutrophiler. Die normoblastäre Erythropoese ist fast vollständig verdrängt. Typisch ist die Vermehrung kleiner Megakaryozyten mit hypolobulierten Kernen.
Klinik
Müdigkeit und Gewichtsverlust. Ausgeprägte Leukozytose, Basophilie und leichte Anämie. Palpable Milz.
Bilder Typ
Histologie
Vergrösserung
200
Alter
60
Geschlecht
männlich
Datum
Ersteintrag: 28.09.2002