PathoPic – image database / PathoPic ID 3897 - chronische myeloische Leukämie (CML)

de
Diagnose
chronische myeloische Leukämie (CML)
Diagnose Gruppe
maligner Tumor
Topographie
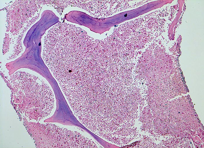
Knochenmark, Beckenkamm
Topographie Gruppe
Lymphatische Gewebe, KM, Milz
Beschreibung
Vollständige Verdrängung von normalem blutbildendem Mark und Fettmark durch verschiedene Reifungsstufen der Myelopoese (buntes Bild). Zellularität gegen 100% (sogenanntes "packed marrow").
Klinik
Müdigkeit und Gewichtsverlust. Ausgeprägte Leukozytose, Basophilie und leichte Anämie. Palpable Milz.
Kommentar
Das Verhältnis weisse zu roten Blutzellvorstufen liegt im normalen Knochenmark des Erwachsenen etwa bei 3:1, kann bei reaktiven Veränderungen aber stark verschoben sein. Die Zellularität ist altersabhängig. Als grobe Faustregel kann man davon ausgehen, dass das Knochenmark bei einem Kind fast 100% blutbildendes Mark enthält. Pro Jahrzehnt wird etwa 10% des blutbildenden Marks in Fettmark umgewandelt. Ein 50 jähriger hat somit ein etwa ausgeglichenes Verhältnis von blutbildendem Mark zu Fettmark.
Bilder Typ
Histologie
Vergrösserung
50
Alter
60
Geschlecht
männlich
Datum
Ersteintrag: 30.07.2002