PathoPic – image database / PathoPic ID 3893 - chronische myeloische Leukämie (CML)

de
Diagnose
chronische myeloische Leukämie (CML)
Diagnose Gruppe
maligner Tumor
Topographie
Knochenmark, Beckenkamm
Topographie Gruppe
Lymphatische Gewebe, KM, Milz
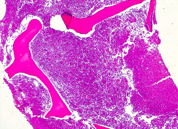
Beschreibung
Massive Hyperzellularität von 100% (sogenanntes packed marrow). Vollständige Verdrängung von blutbildendem Mark und Fettmark durch Infiltration der chronisch myeloischen Leukämie (normalerweise bei 60jährigem Patienten noch ca. 40% blutbildendes Knochenmark! und 60% Fettmark)
Klinik
Müdigkeit und Gewichtsverlust. Ausgeprägte Leukozytose, Basophilie und leichte Anämie. Palpable Milz.
Bilder Typ
Histologie
Vergrösserung
50
Alter
60
Geschlecht
männlich
Datum
Ersteintrag: 28.09.2002