Pathopic
HiPaKu
ZyPaKu
PathoBasic
PathoBasic Cytology
Quizzes
Projektinfos
PathoPic - Projekt- und Copyright-Info
About
Pathopic
HiPaKu
ZyPaKu
PathoBasic
PathoBasic Cytology
Quizzes
PathoPic – image database
/
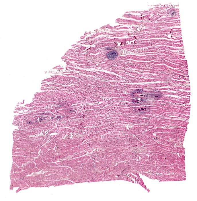
PathoPic ID 3890 - septisch bakterielle Myokarditis (septikopyämische Myokarditis)
de
Diagnose
septisch bakterielle Myokarditis (septikopyämische Myokarditis)
Diagnose Gruppe
Entzündung infektiös
Topographie
Herz
Topographie Gruppe
Kardiovaskuläres System
Beschreibung
Die blauen Flecken im Myokard entsprechen einzelnen
septikopyämischen Herden bestehend aus Bakterien und neutrophilen Granulozyten.
Klinik
Patient mit bakterieller Staphylokokken-Endokarditis der Aortenklappe bei bekanntem intravenösem Drogenabusus.
Kommentar
In der HE Färbung blau gefärbt sind Bakterien, Kalk oder Nukleinsäuren (Kernmaterial).
Bilder Typ
Histologie
Vergrösserung
Scan
Alter
34
Geschlecht
männlich
Datum
Ersteintrag: 28.09.2002
CPS
·
©
2024 Institut für Pathologie Basel
/
Dr. med. Katharina Glatz-Krieger
.
·
v2.1