PathoPic – image database / PathoPic ID 3881 - Follikuläres B-Zell Non-Hodgkin-Lymphom: neoplastisches Keimzentrum

de
Diagnose
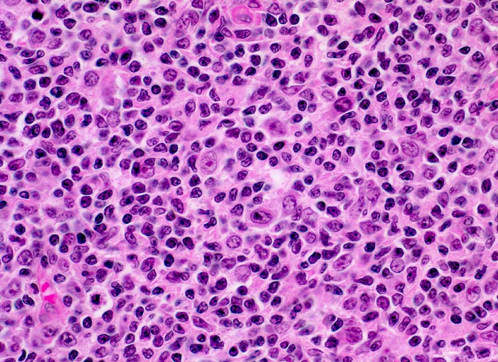
Follikuläres B-Zell Non-Hodgkin-Lymphom: neoplastisches Keimzentrum
Diagnose Gruppe
maligner Tumor
Topographie
Lymphknoten, abdominal
Topographie Gruppe
Lymphatische Gewebe, KM, Milz
Beschreibung
Neoplastisches auffallend monotones Follikelzentrum bestehend aus kleinen lymphoiden Zellen mit eckigen Kernen, kaum erkennbaren Nukleolen und wenig Zytoplasma (Zentrozyten). Daneben finden sich grössere follikulär dendritische Zellen mit blassem Kernchromatin, zentralen Nukleolen und hellem Zytoplasma mit hier kaum sichtbaren fein ausgezogenen Ausläufern.
Zusatzbefund
Die Keimzentren sind immunhistochemisch positiv für bcl-2.
Klinik
Generalisierte Lymphknotenvergrösserung peripher und zentral (abdominal und thorakal). Abgesehen von vergrösserten Lymphknoten keine Symptome.
Bilder Typ
Histologie
Vergrösserung
400
Alter
58
Geschlecht
unbekannt
Datum
Ersteintrag: 01.01.2002