PathoPic – image database / PathoPic ID 3879 - Follikuläres B-Zell Non-Hodgkin-Lymphom

de
Diagnose
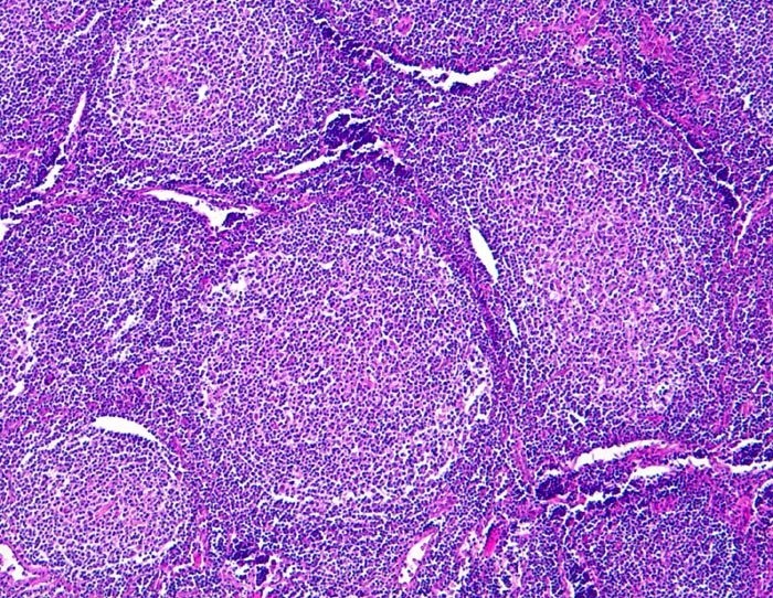
Follikuläres B-Zell Non-Hodgkin-Lymphom
Diagnose Gruppe
maligner Tumor
Topographie
Lymphknoten, abdominal
Topographie Gruppe
Lymphatische Gewebe, KM, Milz
Beschreibung
Bildung von neoplastischen Follikeln ohne typische Zonierung. Die Follikel stehen dicht aneinander, Follikelmäntel fehlen.
Klinik
Generalisierte Lymphknotenvergrösserung peripher und zentral (abdominal und thorakal). Abgesehen von vergrösserten Lymphknoten keine Symptome.
Kommentar
Die diffusen Areale zwischen den Follikeln können eine Sklerose aufweisen.
Bilder Typ
Histologie
Vergrösserung
50
Alter
58
Geschlecht
unbekannt
Datum
Ersteintrag: 26.09.2002