PathoPic – image database / PathoPic ID 3876 - Hodgkin-Lymphom, noduläre Sklerose

de
Diagnose
Hodgkin-Lymphom, noduläre Sklerose
Diagnose Gruppe
maligner Tumor
Topographie
Lymphknoten, mediastinal
Topographie Gruppe
Lymphatische Gewebe, KM, Milz
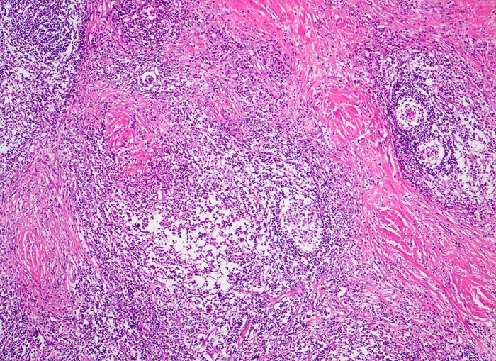
Beschreibung
Zerstörung der regulären Zonierung und Gliederung des Lymphknotens durch bindegewebig abgegrenzte Noduli, die aus einem unterschiedlich zellreichen bunten Infiltrat bestehen.
Klinik
Mediastinaler Tumorbulk.
Kommentar
Die noduläre Sklerose ist ein Subtyp des klassischen Morbus Hodgkin mit Kollagenbändern, die mindestens einen Knoten lymphatischen Gewebes umschliessen. Diese enthalten Hodgkin- und Reed-Sternberg Zellen in Form von Lakunarzellen.
Bilder Typ
Histologie
Vergrösserung
50
Alter
21
Geschlecht
unbekannt
Datum
Ersteintrag: 31.12.2001