Pathopic
HiPaKu
ZyPaKu
PathoBasic
PathoBasic Cytology
Quizzes
Projektinfos
PathoPic - Projekt- und Copyright-Info
About
Pathopic
HiPaKu
ZyPaKu
PathoBasic
PathoBasic Cytology
Quizzes
PathoPic – image database
/
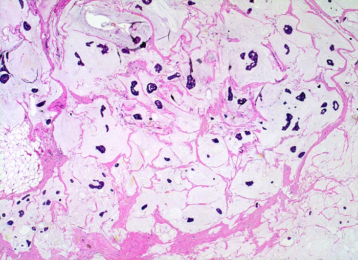
PathoPic ID 3866 - Muzinöses Mammakarzinom (Kolloidkarzinom)
de
Diagnose
Muzinöses Mammakarzinom (Kolloidkarzinom)
Diagnose Gruppe
maligner Tumor
Topographie
Mamma
Topographie Gruppe
Mamma
Beschreibung
Kleine kompakte Tumorzellinseln schwimmen in extrazellulären Schleimseen.
Bilder Typ
Histologie
Vergrösserung
25
Alter
45
Geschlecht
unbekannt
Datum
Ersteintrag: 31.12.2001
CPS
·
©
2024 Institut für Pathologie Basel
/
Dr. med. Katharina Glatz-Krieger
.
·
v2.1