PathoPic – image database / PathoPic ID 3779 - subakute Thyreoiditis de Quervain

de
Diagnose
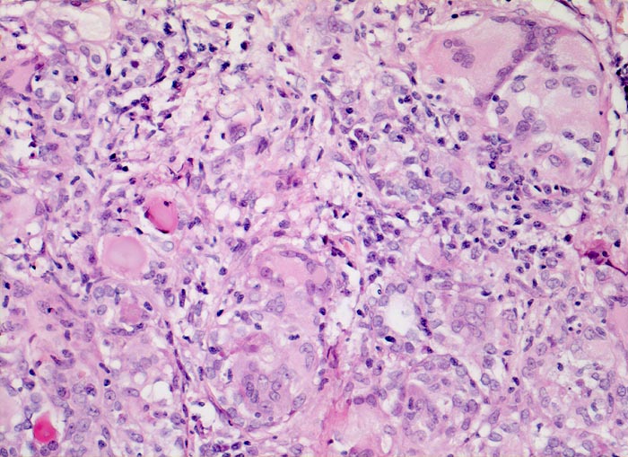
subakute Thyreoiditis de Quervain
Diagnose Gruppe
Entzündung / Reparatur
Topographie
Schilddrüse
Topographie Gruppe
Endokrinium
Beschreibung
Granulomatöse Entzündung aus Riesenzellen und Lymphozyten. Dazwischen teilweise zugrundegegangene Follikel.
Klinik
Euthyreose und kalte Knoten in beiden Schilddrüsenlappen.
Bilder Typ
Histologie
Vergrösserung
200
Alter
54
Geschlecht
unbekannt
Datum
Ersteintrag: 31.12.2001