PathoPic – image database / PathoPic ID 3773 - medulläres Schilddrüsenkarzinom, papilläre Variante

de
Diagnose
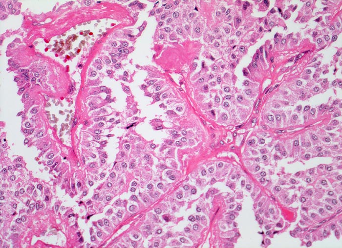
medulläres Schilddrüsenkarzinom, papilläre Variante
Diagnose Gruppe
maligner Tumor
Topographie
Schilddrüse
Topographie Gruppe
Endokrinium
Beschreibung
Anordnung der Tumorzellen entlang von zarten fibrovaskulären Stromastielen. Hochprismatische scharf begrenzte Tumorzellen mit runden Kernen mit feinem Chromatin. Im Gegensatz zum papillären Schilddrüsenkarzinom keine Kernüberlappungen und keine Milchglaskerne oder Kernkerben.
Zusatzbefund
Calcitonin positive Tumorzellen
Kommentar
Das C-Zellkarzinom der Schilddrüse kann sehr viele morphologische Formen annehmen (klassisch spindelzellig oder polygonal-rundzellig, Varianten: glandulär, papillär, kleinzellig, Riesenzellig, oxyphil, hellzellig, undifferenziert, Plattenepitheldifferenzierung)
Bilder Typ
Histologie
Vergrösserung
200
Alter
72
Geschlecht
unbekannt
Datum
Ersteintrag: 31.12.2001