PathoPic – image database / PathoPic ID 3578 - pigmentierter Naevuszellnaevus

de
Diagnose
pigmentierter Naevuszellnaevus
Diagnose Gruppe
benigner Tumor
Topographie
Haut, Rumpf
Topographie Gruppe
Haut
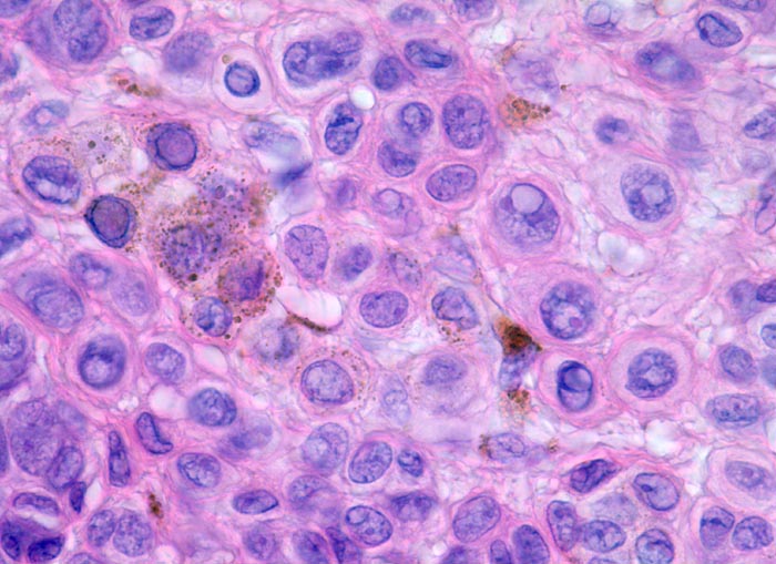
Beschreibung
Naevuszellen in den oberen Schichten des Naevus: Rundliche, scharf begrenzte Naevuszellen ohne Zell- und Kernatypien; teils mehrkernige Zellen. Ein Teil der Naevuszellen enthält feinkörniges braunes Melaninpigment im Zytoplasma. Ein Teil der Kerne zeigt intranukleäre Vakuolen. Keine Mitosen
Klinik
Graubraune, leicht erhabene, scharf begrenzte Hautveränderung über dem Schulterblatt.
Bilder Typ
Histologie
Vergrösserung
630
Alter
27
Geschlecht
männlich
Datum
Ersteintrag: 09.05.2002