PathoPic – image database / PathoPic ID 3576 - dermaler Naevuszellnaevus

de
Diagnose
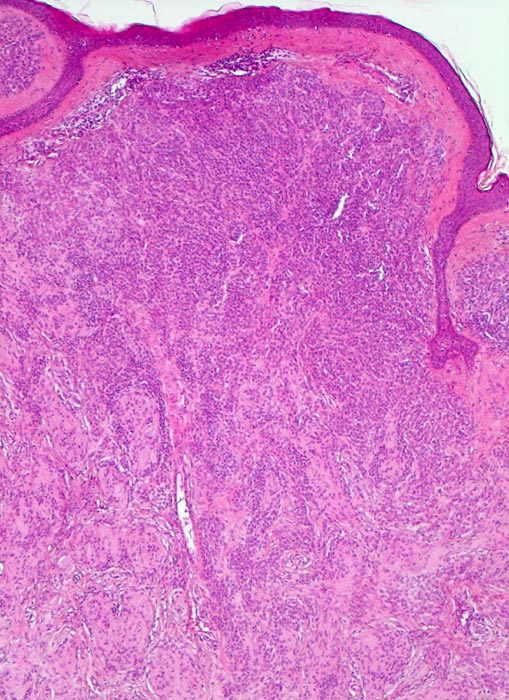
dermaler Naevuszellnaevus
Diagnose Gruppe
benigner Tumor
Topographie
Haut, Rumpf
Topographie Gruppe
Haut
Beschreibung
Unauffällige Epidermis. Zwischen den Naevuszellen und der Epidermis schmale Schicht von zellarmem Bindegewebe. Ein dichtes Infiltrat von Naevuszellen füllt das Corium aus. Zwischen den Naevuszellen vereinzelte Spaltbildungen (typischer Fixationsartefakt).
Klinik
Graubraune, leicht erhabene, scharf begrenzte Hautveränderung über dem Schulterblatt.
Bilder Typ
Histologie
Vergrösserung
50
Alter
27
Geschlecht
männlich
Datum
Ersteintrag: 17.12.2001