PathoPic – image database / PathoPic ID 3575 - dermaler Naevuszellnaevus

de
Diagnose
dermaler Naevuszellnaevus
Diagnose Gruppe
benigner Tumor
Topographie
Haut, Rumpf
Topographie Gruppe
Haut
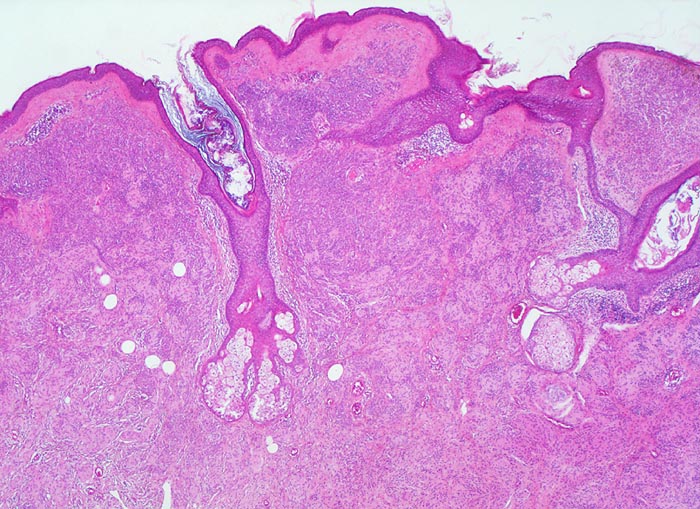
Beschreibung
Unauffällige Epidermis mit Haarfollikeln. Grosse konfluierende Nester von Naevuszellen füllen das Corium aus. Zwischen den Naevuszellen und der Epidermis schmale Schicht von zellarmem Bindegewebe (corialer=dermaler Naevuszellnaevus).
Klinik
Graubraune, leicht erhabene, scharf begrenzte Hautveränderung über dem Schulterblatt.
Bilder Typ
Histologie
Vergrösserung
25
Alter
27
Geschlecht
männlich
Datum
Ersteintrag: 17.12.2001