PathoPic – image database / PathoPic ID 3573 - Wundheilung: Granulationsgewebe

de
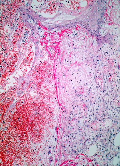
Diagnose
Wundheilung: Granulationsgewebe
Diagnose Gruppe
Entzündung / Reparatur
Topographie
Haut, Rumpf
Topographie Gruppe
Haut
Beschreibung
Blutgefüllter spaltförmiger Defekt im Corium. Am Rand der Wunde rechts im Bild ödematöses Granulationsgewebe mit zahlreichen kapillären Gefässen, Fibroblasten und wenig Entzündungszellen. Hellrote Fibrinauflagerungen auf dem Gewebsdefekt. Neugebildete Epidermis überzieht teilweise den Wundgrund.
Klinik
6 Tage alte Wunde am Abdomen nach Laparotomie.
Bilder Typ
Histologie
Vergrösserung
100
Alter
42
Geschlecht
männlich
Datum
Ersteintrag: 17.12.2001
Update: 22.07.2003