Pathopic
HiPaKu
ZyPaKu
PathoBasic
PathoBasic Cytology
Quizzes
Projektinfos
PathoPic - Projekt- und Copyright-Info
About
Pathopic
HiPaKu
ZyPaKu
PathoBasic
PathoBasic Cytology
Quizzes
PathoPic – image database
/
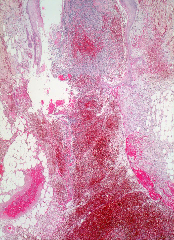
PathoPic ID 3572 - Wundheilung
de
Diagnose
Wundheilung
Diagnose Gruppe
Entzündung / Reparatur
Topographie
Haut, Rumpf
Topographie Gruppe
Haut
Beschreibung
Spaltförmiger Defekt des Plattenepithels, der sich fortsetzt in die darunterliegende Cutis und obere Subcutis, mit spaltförmigem Defekt der Bindegewebsfasern. Am Rand des Defektes
Granulationsgewebsbildung und
Fibrinauflagerungen.
Klinik
6 Tage alte Wunde am Abdomen nach Laparotomie.
Bilder Typ
Histologie
Vergrösserung
25
Alter
42
Geschlecht
männlich
Datum
Ersteintrag: 17.12.2001
CPS
·
©
2024 Institut für Pathologie Basel
/
Dr. med. Katharina Glatz-Krieger
.
·
v2.1