PathoPic – image database / PathoPic ID 3536 - septisch bakterielle Myokarditis (septikopyämische Myokarditis)

de
Diagnose
septisch bakterielle Myokarditis (septikopyämische Myokarditis)
Diagnose Gruppe
Entzündung infektiös
Topographie
Herz
Topographie Gruppe
Kardiovaskuläres System
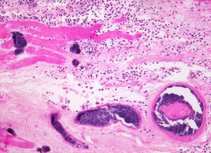
Beschreibung
Rechts unten im Bild nekrotische Gefässe gefüllt mit blauen Bakterienhaufen. Daneben einzelne Bakterienkolonien zwischen den nekrotischen hypereosinophilen Myokardfasern. Um die nekrotischen Fasern ein dichtes granulozytäres Entzündungsinfiltrat (Pyämie).
Klinik
Patient mit bakterieller Staphylokokken-Endokarditis der Aortenklappe bei bekanntem intravenösem Drogenabusus.
Kommentar
In der HE Färbung blau gefärbt sind Bakterien, Kalk oder Nukleinsäuren (Kernmaterial).
Bilder Typ
Histologie
Vergrösserung
160
Alter
34
Geschlecht
männlich
Datum
Ersteintrag: 25.09.2002